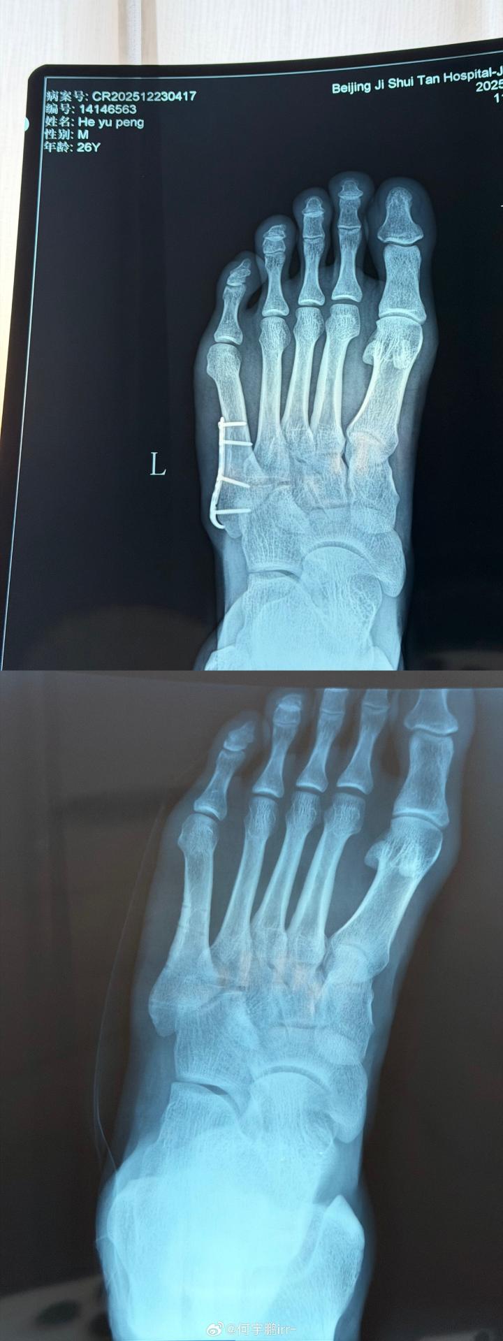
北京时间12月25日,北京国安球员何宇鹏在社交媒体上分享了自己摘除左脚钢板的照片。

何宇鹏写道:“终于要和身体里这个‘铁哥们’说再见了
虽说为了你足球鞋都大了半码哈哈哈!但也非常感谢8个月的保驾护航,现在,是时候说再见了! 从一开始不敢置信可以带着钢板踢球,到二次手术圆满结束,都不得不提我的大功臣,感谢积水潭孙旭主任用超高的医术精密地修补了我的身体! 也感谢葆石头康复与@掰腿老黄 的鼎力支持!愿每一次伤愈都能变得更坚韧!”
本赛季,受到伤病影响,何宇鹏代表国安在各项赛事出场14次,其中7次为首发出场,有2脚助攻。
